快速响应 、多科联动!临安一院成功抢救一名危重胸腹联合伤患者!
 发布时间:2023-08-08
发布时间:2023-08-08
                             点击:12
点击:12
                        
                                字号
                                
                                    
                            
                        小
                                    中
                                    大
                                近日,临安区第一人民医院创伤中心团队分秒必争、高效协作,成功抢救了一名危重刀刺伤患者,现患者病情稳定,已经从ICU转至普通病房。
8月4日23:30左右,一名19岁男性患者被一把长约10cm的水果刀刺伤胸腹部,左侧腋中线第8肋间开放伤口约4厘米左右,被送至临安一院急诊科。

急诊科副主任医师、医疗组组长朱军东迅速接诊,紧急启动创伤MDT,当日创伤中心值班主任谢民民马上到场指挥和协调,胸外科主治医师陶友亮,普外科副主任医师张剑和主治医师孟利浩迅速赶赴急诊科开展多学科联合诊治,并完善术前检查和制定治疗方案,严格把握创伤救治黄金一小时原则,积极开展抢救。


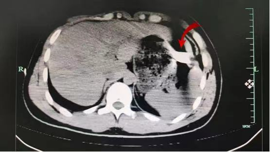
CT可见水果刀在位
患者送至手术室后,术中探查发现患者存在创伤性肝破裂、腹腔积液、肺破裂、膈肌破裂、血气胸,属于胸腹联合伤(胸腹联合伤伤情严重而复杂,危险性较大,其休克发生率高达60%,死亡率高达25%~35%),团队医生即行胸腔镜探查+膈肌修补,手术过程顺利,术后患者转ICU。

在重症医学科严密观察和精心治疗下,术后第二天患者恢复清醒,转入普外一科普通病房治疗,现患者病情稳定。

临安区第一人民医院创伤中心自2023年2月成立以来,积极打造一支速度快、技术精、治疗准的创伤救治团队,全力提高医院危急重症救治能力,为全区老百姓提供更优质高效、安全快捷的医疗急救服务,为助力建设“吴越名城·幸福临安”贡献力量。
 
                 
                                             
                         
                         
                        